In Pain? Emergency appointments welcome.
Restorative Care
Your smile tells your story, and at our practice, we love helping patients share it with confidence. Our Smile Gallery highlights real transformations from patients who have trusted us with their care. From simple improvements to complete smile makeovers, these before-and-after photos show how modern dentistry can restore health, function, and beauty.
Porcelain Crowns
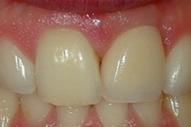
Before

Front (left) Central tooth has a poor restoration. Does not look natural and is not contoured properly to match the gumline of the rest of the teeth.
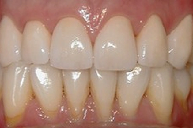
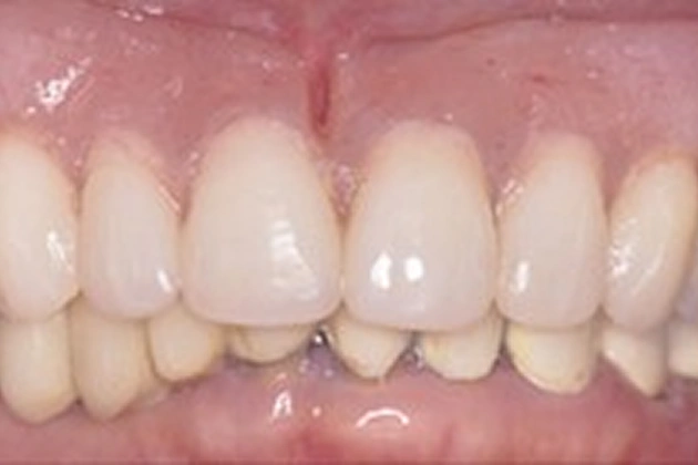
After

Replaced with an All Porcelain Crown (no metal). Tooth is now contoured to match the rest of the gumline. Restored tooth looks very natural and matches the shape and color of the patient's teeth.
Before

Patient needs Upper Arch Rehabilitation. Presents with Upper Anterior teeth that are stained, incisal edges (tooth edge) are worn down and chipped, and gumline recession is present.
After

Smile restored with placement of 8 Upper All Porcelain Crowns (Caps). Gumline and incisal edges are now uniform. Patient now has longer, better shaped teeth to enhance the smile line and aid in chewing/biting function.
Before

Patient needs a Single Tooth Replacement of one Upper Central Incisor.
After

Smile and function restored with a Single Implant and an All Porcelain Crown (Cap) that fits securely over the implant.
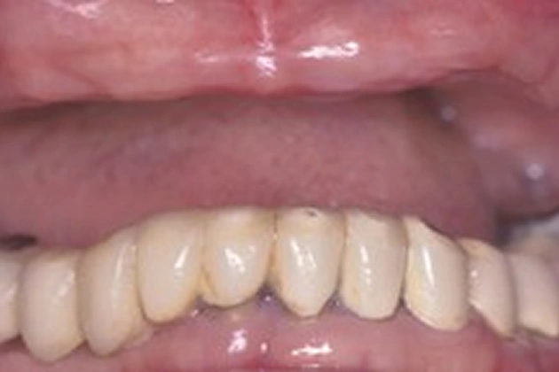
Before


Patient needs Upper and Lower Arch Rehabilitation.
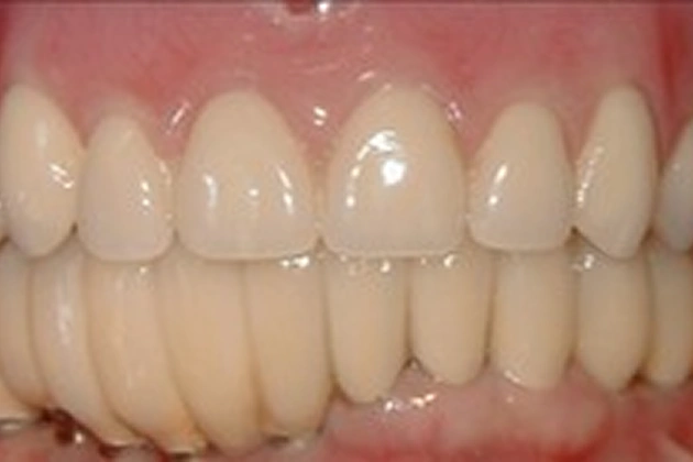
After


Great smile, chewing function, and facial tissue support possible with an Upper Denture that is supported with Implants and Lower Implants and Crowns.
Dentures & Partial Dentures
Before


Patient needs Upper and Lower Arch Rehabilitation.
After


Great smile, chewing function, and facial tissue support possible with an Upper Denture that is supported with Implants and Lower Implants and Crowns.
Other Procedures
Every smile you see here represents a personal journey. Whether it is whitening, veneers, crowns, or a combination of treatments, the results speak for themselves. Browse through our gallery to see how we have helped others achieve the smile of their dreams—and imagine what we can do for you.
Crowns (Caps)
Before

Front (left) Central tooth has a poor restoration. Does not look natural and is not contoured properly to match the gumline of the rest of the teeth.
After

Replaced with an All Porcelain Crown (no metal). Tooth is now contoured to match the rest of the gumline. Restored tooth looks very natural and matches the shape and color of the patient's teeth.
Before

Patient needs a Single Tooth Replacement of one Upper Central Incisor.
After

Smile and function restored with a Single Implant and an All Porcelain Crown (Cap) that fits securely over the implant.
Before


Patient needs Upper and Lower Arch Rehabilitation.
After


Great smile, chewing function, and facial tissue support possible with an Upper Denture that is supported with Implants and Lower Implants and Crowns.
Dental Implants
Before

Patient needs a Single Tooth Replacement of one Upper Central Incisor.
After

Smile and function restored with a Single Implant and an All Porcelain Crown (Cap) that fits securely over the implant.
Before


Patient needs Upper and Lower Arch Rehabilitation.
After


Great smile, chewing function, and facial tissue support possible with an Upper Denture that is supported with Implants and Lower Implants and Crowns.


